首页 > 抗体蛋白 > 抗体
促肾上腺皮质激素释放因子/促肾上皮质激素释放激素抗体
产品名称:
促肾上腺皮质激素释放因子/促肾上皮质激素释放激素抗体
英文名称:
Rabbit Anti-CRF antibody
产品类别:
抗体
产品编号:
bs-0382R
保存条件:
Shipped at 4℃. Store at -20 °C for one year. Avoid
[价格]
规格 价格 库存
50ul ¥ 1180.00 10
100ul ¥ 1980.00 10
200ul ¥ 2800.00 10

产品详情

产品编号bs-0382R
英文名称Rabbit?Anti-CRF?antibody
中文名称促肾上腺皮质激素释放因子/促肾上皮质激素释放激素抗体
别????名Corticoliberin; Corticoliberin precursor; Corticotropin releasing factor; Corticotropin releasing hormone; Corticotropin releasing hormone deficiency included; crf; crh; crh deficiency included; corticoliberin preproprotein; CRF_HUMAN; Corticotropin-releasing factor; CRH1; CRH; Corticotropin-releasing hormone.??
Specific References??(3)?????|?????bs-0382R has been referenced in 3 publications.
[IF=5.923]?Lola Torz. et al. NPFF Decreases Activity of Human Arcuate NPY Neurons: A Study in Embryonic-Stem-Cell-Derived Model. Int J Mol Sci. 2022 Jan;23(6):3260??IF?;??Human.??
[IF=4.249]?Zoratto, F. et al.Intranasal oxytocin administration promotes emotional contagion and reduces aggression in a mouse model of callousness. (2018) Neuropharmacology.Sep 10;143:250-267.??IHC?;??mouse.??
[IF=2.705]?Wang H et al. Leukemia inhibitory factor induces corticotropin-releasing hormone in mouse trophoblast stem cells. Biochem Biophys Res Commun. 2019 Nov 15. pii: S0006-291X(19)32179-5.??ICF&WB?;??Mouse.??
研究领域神经生物学??
抗体来源Rabbit
克隆类型Polyclonal
交叉反应Human,Mouse,Rat (predicted: Dog,Pig,Rabbit,GuineaPig)
产品应用IHC-P=1:100-500, IHC-F=1:100-500, IF=1:200-800, ELISA=1:5000-10000
not yet tested in other applications.
optimal dilutions/concentrations should be determined by the end user.
理论分子量5/22kDa
细胞定位分泌型蛋白?
性????状Liquid
浓????度1mg/ml
免?疫?原KLH conjugated synthetic peptide derived from human CRF:?145-185/196?
亚????型IgG
纯化方法affinity purified by Protein A
缓?冲?液0.01M TBS(pH7.4) with 1% BSA, 0.03% Proclin300 and 50% Glycerol.
保存条件Shipped at 4℃. Store at -20 °C for one year. Avoid repeated freeze/thaw cycles.
注意事项This product as supplied is intended for research use only, not for use in human, therapeutic or diagnostic applications.
PubMedPubMed
产品介绍This gene encodes a member of the corticotropin-releasing factor family. The encoded preproprotein is proteolytically processed to generate the mature neuropeptide hormone. In response to stress, this hormone is secreted by the paraventricular nucleus (PVN) of the hypothalamus, binds to corticotropin releasing hormone receptors and stimulates the release of adrenocorticotropic hormone from the pituitary gland. Marked reduction in this protein has been observed in association with Alzheimer's disease. Autosomal recessive hypothalamic corticotropin deficiency has multiple and potentially fatal metabolic consequences including hypoglycemia and hepatitis. In addition to production in the hypothalamus, this protein is also synthesized in peripheral tissues, such as T lymphocytes, and is highly expressed in the placenta. In the placenta it is a marker that determines the length of gestation and the timing of parturition and delivery. A rapid increase in circulating levels of the hormone occurs at the onset of parturition, suggesting that, in addition to its metabolic functions, this protein may act as a trigger for parturition. [provided by RefSeq, Nov 2015]

Function:
This hormone from hypothalamus regulates the release of corticotropin from pituitary gland.

Subunit:
Interacts (via C-terminus) with CRFR1 (via N-terminal extracellular domain).

Subcellular Location:
Secreted.

Similarity:
Belongs to the sauvagine/corticotropin-releasing factor/urotensin I family.

SWISS:
P06850

Gene ID:
1392

Database links:

Entrez Gene: 1392?Human

Entrez Gene: 12918?Mouse

Entrez Gene: 81648?Rat

Omim: 122560?Human

SwissProt: P06850?Human

SwissProt: Q8CIT0?Mouse

SwissProt: P01143?Rat

Unigene: 75294?Human

Unigene: 290689?Mouse

Unigene: 10349?Rat



CRF阳性神经元的胞体广泛分布于下丘脑的室旁核、背缝核和蓝斑核,这些区域也是去甲肾上腺素(NE)神经元与5-羟色胺(5-HT)神经元密集的区域。CRF既具有神经递质的性质又具有神经激素的性质。CRF是联系神经系统与内分泌系统的桥梁,在情感障碍疾患如焦虑和抑郁的发病中发挥重要作用.
产品图片
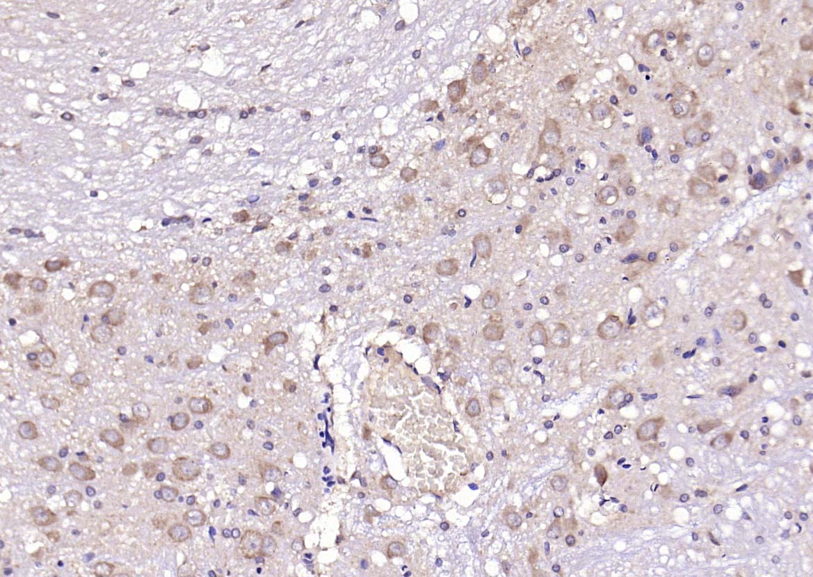
Paraformaldehyde-fixed, paraffin embedded (rat cerebellum); Antigen retrieval by boiling in sodium citrate buffer (pH6.0) for 15min; Block endogenous peroxidase by 3% hydrogen peroxide for 20 minutes; Blocking buffer (normal goat serum) at 37°C for 30min; Antibody incubation with (CRF) Polyclonal Antibody, Unconjugated (bs-0382R) at 1:200 overnight at 4°C, followed by operating according to SP Kit(Rabbit) (sp-0023) instructionsand DAB staining.
Paraformaldehyde-fixed, paraffin embedded (rat brain); Antigen retrieval by boiling in sodium citrate buffer (pH6.0) for 15min; Block endogenous peroxidase by 3% hydrogen peroxide for 20 minutes; Blocking buffer (normal goat serum) at 37°C for 30min; Antibody incubation with (CRF) Polyclonal Antibody, Unconjugated (bs-0382R) at 1:200 overnight at 4°C, followed by operating according to SP Kit(Rabbit) (sp-0023) instructionsand DAB staining.
Paraformaldehyde-fixed, paraffin embedded (mouse cerebellum); Antigen retrieval by boiling in sodium citrate buffer (pH6.0) for 15min; Block endogenous peroxidase by 3% hydrogen peroxide for 20 minutes; Blocking buffer (normal goat serum) at 37°C for 30min; Antibody incubation with (CRF) Polyclonal Antibody, Unconjugated (bs-0382R) at 1:200 overnight at 4°C, followed by operating according to SP Kit(Rabbit) (sp-0023) instructionsand DAB staining.
Paraformaldehyde-fixed, paraffin embedded (mouse brain); Antigen retrieval by boiling in sodium citrate buffer (pH6.0) for 15min; Block endogenous peroxidase by 3% hydrogen peroxide for 20 minutes; Blocking buffer (normal goat serum) at 37°C for 30min; Antibody incubation with (CRF) Polyclonal Antibody, Unconjugated (bs-0382R) at 1:200 overnight at 4°C, followed by operating according to SP Kit(Rabbit) (sp-0023) instructionsand DAB staining.
Paraformaldehyde-fixed, paraffin embedded (Mouse brain); Antigen retrieval by boiling in sodium citrate buffer (pH6.0) for 15min; Block endogenous peroxidase by 3% hydrogen peroxide for 20 minutes; Blocking buffer (normal goat serum) at 37°C for 30min; Antibody incubation with (CRF) Polyclonal Antibody, Unconjugated (bs-0382R) at 1:400 overnight at 4°C, followed by operating according to SP Kit(Rabbit)(sp-0023)instructionsand DAB staining.
Paraformaldehyde-fixed, paraffin embedded (Rat brain); Antigen retrieval by boiling in sodium citrate buffer (pH6.0) for 15min; Block endogenous peroxidase by 3% hydrogen peroxide for 20 minutes; Blocking buffer (normal goat serum) at 37°C for 30min; Antibody incubation with (CRF) Polyclonal Antibody, Unconjugated (bs-0382R) at 1:400 overnight at 4°C, followed by operating according to SP Kit(Rabbit) (sp-0023) instructionsand DAB staining.
Paraformaldehyde-fixed, paraffin embedded (Rat brain); Antigen retrieval by boiling in sodium citrate buffer (pH6.0) for 15min; Block endogenous peroxidase by 3% hydrogen peroxide for 20 minutes; Blocking buffer (normal goat serum) at 37°C for 30min; Antibody incubation with (CRF) Polyclonal Antibody, Unconjugated (bs-0382R) at 1:400 overnight at 4°C, followed by a conjugated Goat Anti-Rabbit IgG antibody (bs-0295G-FITC) for 90 minutes, and DAPI for nuclei staining.
Paraformaldehyde-fixed, paraffin embedded (Mouse brain); Antigen retrieval by boiling in sodium citrate buffer (pH6.0) for 15min; Block endogenous peroxidase by 3% hydrogen peroxide for 20 minutes; Blocking buffer (normal goat serum) at 37°C for 30min; Antibody incubation with (CRF) Polyclonal Antibody, Unconjugated (bs-0382R) at 1:400 overnight at 4°C, followed by a conjugated Goat Anti-Rabbit IgG antibody (bs-0295G-FITC) for 90 minutes, and DAPI for nuclei staining.

联系我们

TEL:021-34661275  点击拨打热线