首页 > 抗体蛋白 > 抗体
转录因子SOX9蛋白抗体
产品名称:
转录因子SOX9蛋白抗体
英文名称:
Rabbit Anti-SOX9 antibody
产品类别:
抗体
产品编号:
bs-10725R
保存条件:
Shipped at 4℃. Store at -20 °C for one year. Avoid
[价格]
规格 价格 库存
50ul ¥ 1180.00 10
100ul ¥ 1980.00 10
200ul ¥ 2800.00 10

产品详情

产品编号bs-10725R
英文名称Rabbit?Anti-SOX9?antibody
中文名称转录因子SOX9蛋白抗体
别????名CMD 1; CMD1; CMPD 1; CMPD1; SOX 9; Sox9; SOX9_HUMAN; SRA 1; SRA1 antibody SRY (sex determining region Y) box 9 (campomelic dysplasia autosomal; SRY (sex determining region Y) box 9; SRY (sex determining region Y)-box 9; SRY (sex-determining region Y)-box 9 protein; Transcription factor SOX 9; Transcription factor SOX-9; transcription factor SOX9; campomelic dysplasia autosomal sex reversal.??
Specific References??(4)?????|?????bs-10725R has been referenced in 4 publications.
[IF=14.224]?Wenqing Xu. et al. Oral exposure to polystyrene nanoplastics reduced male fertility and even caused male infertility by inducing testicular and sperm toxicities in mice. J HAZARD MATER. 2023 Jul;454:131470??IF?;??Mouse.??
[IF=5.191]?Chao Ye. et al. Naringin in the repair of knee cartilage injury via the TGF-β/ALK5/Smad2/3 signal transduction pathway combined with an acellular dermal matrix. J Orthop Transl. 2021 Aug;:??IHC?;??Rabbit.??
[IF=2.784]?Yang et al. miR-1307-3p suppresses the chondrogenic differentiation of human adipose-derived stem cells by targeting BMPR2. (2018) Int.J.Mol.Med. 42:3115-3124??WB?;??
[IF=1.785]?Chao Ye. et al. Naringin and bone marrow mesenchymal stem cells repair articular cartilage defects in rabbit knees through the transforming growth factor?β superfamily signaling pathway. Exp Ther Med. 2020 Nov;20(5):1-1??IHC?;??Rabbit.??
研究领域肿瘤??细胞生物??免疫学??发育生物学??染色质和核信号??神经生物学??转录调节因子??表观遗传学??
抗体来源Rabbit
克隆类型Polyclonal
交叉反应Human,Mouse,Rat (predicted: Pig,Horse,Rabbit)
产品应用IHC-P=1:100-500, IHC-F=1:100-500, ICC=1:100-500, IF=1:100-500, Flow-Cyt=1ug/test, ELISA=1:5000-10000
not yet tested in other applications.
optimal dilutions/concentrations should be determined by the end user.
理论分子量56kDa
细胞定位细胞核?
性????状Liquid
浓????度1mg/ml
免?疫?原KLH conjugated synthetic peptide derived from human SOX9:?351-450/509?
亚????型IgG
纯化方法affinity purified by Protein A
缓?冲?液0.01M TBS(pH7.4) with 1% BSA, 0.03% Proclin300 and 50% Glycerol.
保存条件Shipped at 4℃. Store at -20 °C for one year. Avoid repeated freeze/thaw cycles.
注意事项This product as supplied is intended for research use only, not for use in human, therapeutic or diagnostic applications.
PubMedPubMed
产品介绍The protein encoded by this gene recognizes the sequence CCTTGAG along with other members of the HMG-box class DNA-binding proteins. It acts during chondrocyte differentiation and, with steroidogenic factor 1, regulates transcription of the anti-Muellerian hormone (AMH) gene. Deficiencies lead to the skeletal malformation syndrome campomelic dysplasia, frequently with sex reversal. [provided by RefSeq].

Function:
Plays an important role in the normal skeletal development. May regulate the expression of other genes involved in chondrogenesis by acting as a transcription factor for these genes.

Subcellular Location:
Nucleus (Potential).

DISEASE:
Defects in SOX9 are the cause of campomelic dysplasia (CMD1) [MIM:114290]. CMD1 is a rare, often lethal, dominantly inherited, congenital osteochondrodysplasia, associated with male-to-female autosomal sex reversal in two-thirds of the affected karyotypic males. A disease of the newborn characterized by congenital bowing and angulation of long bones, unusually small scapulae, deformed pelvis and spine and a missing pair of ribs. Craniofacial defects such as cleft palate, micrognatia, flat face and hypertelorism are common. Various defects of the ear are often evident, affecting the cochlea, malleus incus, stapes and tympanum. Most patients die soon after birth due to respiratory distress which has been attributed to hypoplasia of the tracheobronchial cartilage and small thoracic cage.
Defects in SOX9 are the cause of 46,XX sex reversal type 2 (SRXX2) [MIM:278850]. SRXX2 is a condition in which male gonads develop in a genetic female (female to male sex reversal).

Similarity:
Contains 1 HMG box DNA-binding domain.

SWISS:
P48436

Gene ID:
6662

Database links:

Entrez Gene: 6662?Human

Entrez Gene: 20682?Mouse

Entrez Gene: 140586?Rat

Omim: 608160?Human

SwissProt: P48436?Human

SwissProt: Q04887?Mouse

SwissProt: O18896?Pig

Unigene: 647409?Human

Unigene: 286407?Mouse



产品图片
Paraformaldehyde-fixed, paraffin embedded (Human colon carcinoma); Antigen retrieval by boiling in sodium citrate buffer (pH6.0) for 15min; Block endogenous peroxidase by 3% hydrogen peroxide for 20 minutes; Blocking buffer (normal goat serum) at 37°C for 30min; Antibody incubation with (SOX9) Polyclonal Antibody, Unconjugated (bs-10725R) at 1:500 overnight at 4°C, followed by a conjugated secondary (sp-0023) for 20 minutes and DAB staining.
Tissue/cell: human laryngocarcinoma; 4% Paraformaldehyde-fixed and paraffin-embedded;
Antigen retrieval: citrate buffer ( 0.01M, pH 6.0 ), Boiling bathing for 15min; Block endogenous peroxidase by 3% Hydrogen peroxide for 30min; Blocking buffer (normal goat serum,C-0005) at 37℃ for 20 min;
Incubation: Anti-SOX9 Polyclonal Antibody, Unconjugated(bs-10725R) 1:200, overnight at 4°C, followed by conjugation to the secondary antibody(SP-0023) and DAB(C-0010) staining
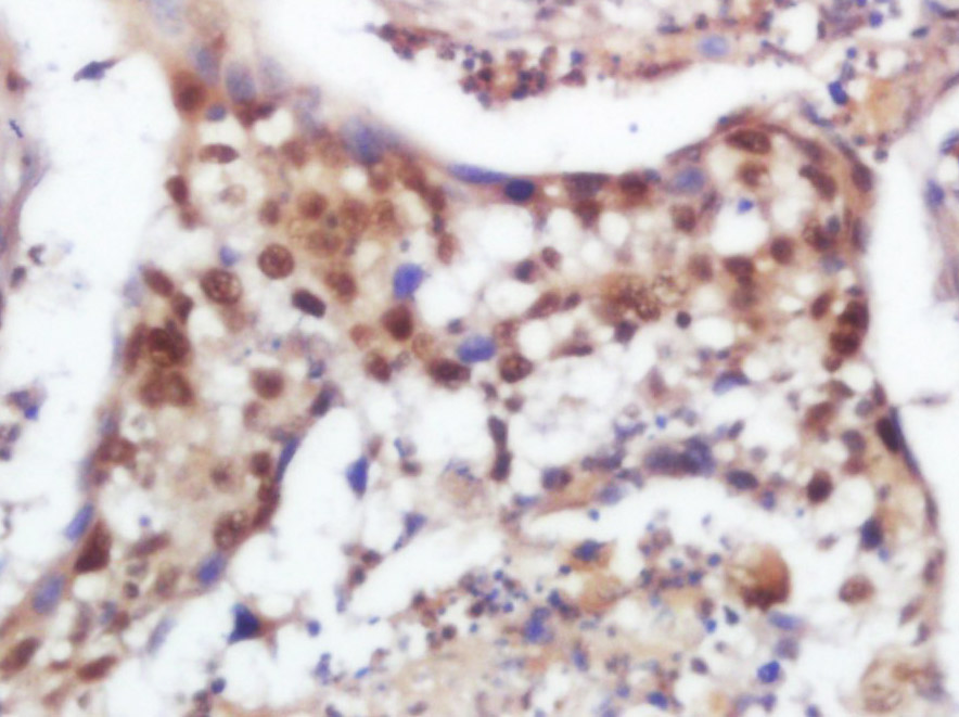
Paraformaldehyde-fixed, paraffin embedded (Rat liver); Antigen retrieval by boiling in sodium citrate buffer (pH6.0) for 15min; Block endogenous peroxidase by 3% hydrogen peroxide for 20 minutes; Blocking buffer (normal goat serum) at 37°C for 30min; Antibody incubation with (SOX9) Polyclonal Antibody, Unconjugated (bs-10725R) at 1:400 overnight at 4°C, followed by operating according to SP Kit(Rabbit) (sp-0023) instructionsand DAB staining.
Paraformaldehyde-fixed, paraffin embedded (human gastric carcinoma); Antigen retrieval by boiling in sodium citrate buffer (pH6.0) for 15min; Block endogenous peroxidase by 3% hydrogen peroxide for 20 minutes; Blocking buffer (normal goat serum) at 37°C for 30min; Antibody incubation with (SOX9) Polyclonal Antibody, Unconjugated (bs-10725R) at 1:200 overnight at 4°C, followed by operating according to SP Kit(Rabbit) (sp-0023) instructionsand DAB staining.
Paraformaldehyde-fixed, paraffin embedded (human laryngeal carcinoma); Antigen retrieval by boiling in sodium citrate buffer (pH6.0) for 15min; Block endogenous peroxidase by 3% hydrogen peroxide for 20 minutes; Blocking buffer (normal goat serum) at 37°C for 30min; Antibody incubation with (SOX9) Polyclonal Antibody, Unconjugated (bs-10725R) at 1:200 overnight at 4°C, followed by operating according to SP Kit(Rabbit) (sp-0023) instructionsand DAB staining.
Paraformaldehyde-fixed, paraffin embedded (rat brain); Antigen retrieval by boiling in sodium citrate buffer (pH6.0) for 15min; Block endogenous peroxidase by 3% hydrogen peroxide for 20 minutes; Blocking buffer (normal goat serum) at 37°C for 30min; Antibody incubation with (SOX9) Polyclonal Antibody, Unconjugated (bs-10725R) at 1:200 overnight at 4°C, followed by operating according to SP Kit(Rabbit) (sp-0023) instructionsand DAB staining.
Paraformaldehyde-fixed, paraffin embedded (mouse brain); Antigen retrieval by boiling in sodium citrate buffer (pH6.0) for 15min; Block endogenous peroxidase by 3% hydrogen peroxide for 20 minutes; Blocking buffer (normal goat serum) at 37°C for 30min; Antibody incubation with (SOX9) Polyclonal Antibody, Unconjugated (bs-10725R) at 1:200 overnight at 4°C, followed by operating according to SP Kit(Rabbit) (sp-0023) instructionsand DAB staining.
Paraformaldehyde-fixed, paraffin embedded (Mouse liver); Antigen retrieval by boiling in sodium citrate buffer (pH6.0) for 15min; Block endogenous peroxidase by 3% hydrogen peroxide for 20 minutes; Blocking buffer (normal goat serum) at 37°C for 30min; Antibody incubation with (SOX9) Polyclonal Antibody, Unconjugated (bs-10725R) at 1:400 overnight at 4°C, followed by operating according to SP Kit(Rabbit) (sp-0023) instructionsand DAB staining.
Blank control:293T.
Primary Antibody (green line): Rabbit Anti-SOX9 antibody (bs-10725R)
Dilution: 1μg /10^6 cells;
Isotype Control Antibody (orange line): Rabbit IgG .
Secondary Antibody : Goat anti-rabbit IgG-AF488
Dilution: 1μg /test.
Protocol
The cells were fixed with 4% PFA (10min at room temperature)and then permeabilized with 90% ice-cold methanol for 20 min at -20℃. The cells were then incubated in 5%BSA to block non-specific protein-protein interactions for 30 min at room temperature .Cells stained with Primary Antibody for 30 min at room temperature. The secondary antibody used for 40 min at room temperature. Acquisition of 20,000 events was performed.
Blank control:A431.
Primary Antibody (green line): Rabbit Anti-SOX9 antibody (bs-10725R)
Dilution: 1μg /10^6 cells;
Isotype Control Antibody (orange line): Rabbit IgG .
Secondary Antibody : Goat anti-rabbit IgG-AF647
Dilution: 1μg /test.
Protocol
The cells were fixed with 4% PFA (10min at room temperature)and then permeabilized with 90% ice-cold methanol for 20 min at-20℃. The cells were then incubated in 5%BSA to block non-specific protein-protein interactions for 30 min at at room temperature .Cells stained with Primary Antibody for 30 min at room temperature. The secondary antibody used for 40 min at room temperature. Acquisition of 20,000 events was performed.

联系我们

TEL:021-34661275  点击拨打热线