首页 > 抗体蛋白 > 抗体
丝/苏氨酸蛋白激酶II β重组兔单抗
产品名称:
丝/苏氨酸蛋白激酶II β重组兔单抗
英文名称:
Rabbit Anti-CSNK2B/CK II beta antibody
产品类别:
抗体
产品编号:
BSm-54217R
保存条件:
Shipped at 4℃. Store at -20 °C for one year. Avoid
[价格]
规格 价格 库存
50ul ¥ 1580.00 10
100ul ¥ 2500.00 10

产品详情

产品编号bsm-54217R
英文名称Rabbit?Anti-CSNK2B/CK II beta?antibody
中文名称丝/苏氨酸蛋白激酶II β重组兔单抗
别????名Casein kinase 2 beta polypeptide; casein kinase IIβ; Casein kinase II subunit beta; CK II beta; CK2B; CK2N; CSK2B; CSK2B_HUMAN; CSNK 2B; CSNK2B; G5A; MGC138222; MGC138224; Phosvitin; Protein G5a.??
研究领域肿瘤??细胞生物??信号转导??干细胞??细胞周期蛋白??转录调节因子??激酶和磷酸酶??
抗体来源Rabbit
克隆类型Recombinant
克?隆?号2C9
交叉反应Human,Mouse,Rat
产品应用WB=1:500-2000, IHC-P=1:50-100
not yet tested in other applications.
optimal dilutions/concentrations should be determined by the end user.
理论分子量25kDa
细胞定位细胞核?细胞浆?细胞膜?细胞外基质?分泌型蛋白?
性????状Liquid
浓????度1mg/ml
免?疫?原KLH conjugated synthetic peptide derived from human CSNK2B/CK II beta?
亚????型IgG
纯化方法affinity purified by Protein A
缓?冲?液0.01M TBS(pH7.4) with 1% BSA, 0.03% Proclin300 and 50% Glycerol.
保存条件Shipped at 4℃. Store at -20 °C for one year. Avoid repeated freeze/thaw cycles.
注意事项This product as supplied is intended for research use only, not for use in human, therapeutic or diagnostic applications.
PubMedPubMed
产品介绍This gene encodes the beta subunit of casein kinase II, a ubiquitous protein kinase which regulates metabolic pathways, signal transduction, transcription, translation, and replication. The enzyme is composed of three subunits, alpha, alpha prime and beta, which form a tetrameric holoenzyme. The alpha and alpha prime subunits are catalytic, while the beta subunit serves regulatory functions. The enzyme localizes to the endoplasmic reticulum and the Golgi apparatus. [provided by RefSeq, Jul 2008].

Function:
Participates in Wnt signaling. Plays a complex role in regulating the basal catalytic activity of the alpha subunit.

Subunit:
Tetramer composed of an alpha subunit, an alpha' subunit and two beta subunits. The beta subunit dimerization is mediated by zinc ions. Interacts with TCTEX1D3 (By similarity). Interacts with CD163. Also component of a CK2-SPT16-SSRP1 complex composed of SSRP1, SUPT16H, CSNK2A1, CSNK2A2 and CSNK2B, the complex associating following UV irradiation. Interacts with MUSK; mediates phosphorylation of MUSK by CK2.

Post-translational modifications:
Phosphorylated by alpha subunit.

Similarity:
Belongs to the casein kinase 2 subunit beta family.

SWISS:
P67871

Gene ID:
1460

Database links:

Entrez Gene: 1460?Human

Entrez Gene: 13001?Mouse

Entrez Gene: 81650?Rat

Omim: 115441?Human

SwissProt: P67870?Human

SwissProt: P67871?Mouse

SwissProt: P67874?Rat

Unigene: 73527?Human

Unigene: 378901?Mouse

Unigene: 137692?Rat




产品图片
Sample:
Lane 1: Mouse Cerebellum tissue lysates
Lane 2: Mouse Cerebrum tissue lysates
Lane 3: Mouse Testis tissue lysates
Lane 4: Rat Cerebellum tissue lysates
Lane 5: Rat Cerebrum tissue lysates
Lane 6: Rat Kidney tissue lysates
Lane 7: Rat Testis tissue lysates
Lane 8: Human Hela cell lysates
Lane 9: Human Jurkat cell lysates
Lane 10: Human K562 cell lysates
Lane 11: Human HepG2 cell lysates
Lane 12: Human MCF-7 cell lysates
Lane 13: Human SH-SY5Y cell lysates
Primary: Anti-CSNK2B/CK II beta (bsm-54217R) at 1/1000 dilution
Secondary: IRDye800CW Goat Anti-Rabbit IgG at 1/20000 dilution
Predicted band size: 25 kDa
Observed band size: 25 kDa
Sample:
Lane 1: SH-SY5Y cell lysate
Lane 2: 293 cell lysatee
Primary: Anti-SNK2B/CK II beta (bsm-54217R) at 1:500 dilution
Secondary: Goat Anti-Rabbit IgG - HRP at 1:5000 dilution
Predicted band size: 25 kD
Observed band size: 25 kD
Paraformaldehyde-fixed, paraffin embedded (human brain); Antigen retrieval by boiling in sodium citrate buffer (pH6.0) for 15min; Block endogenous peroxidase by 3% hydrogen peroxide for 20 minutes; Blocking buffer (normal goat serum) at 37°C for 30min; Antibody incubation with (CSNK2B CK II beta) Monoclonal Antibody, Unconjugated (bsm-54217R) at 1:200 overnight at 4°C, followed by operating according to SP Kit(Rabbit) (sp-0023) instructionsand DAB staining.
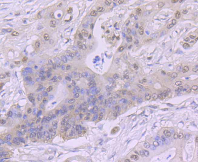
Paraformaldehyde-fixed, paraffin embedded (human colon carcinoma); Antigen retrieval by boiling in sodium citrate buffer (pH6.0) for 15min; Block endogenous peroxidase by 3% hydrogen peroxide for 20 minutes; Blocking buffer (normal goat serum) at 37°C for 30min; Antibody incubation with (CSNK2B CK II beta) Monoclonal Antibody, Unconjugated (bsm-54217R) at 1:200 overnight at 4°C, followed by operating according to SP Kit(Rabbit) (sp-0023) instructionsand DAB staining.
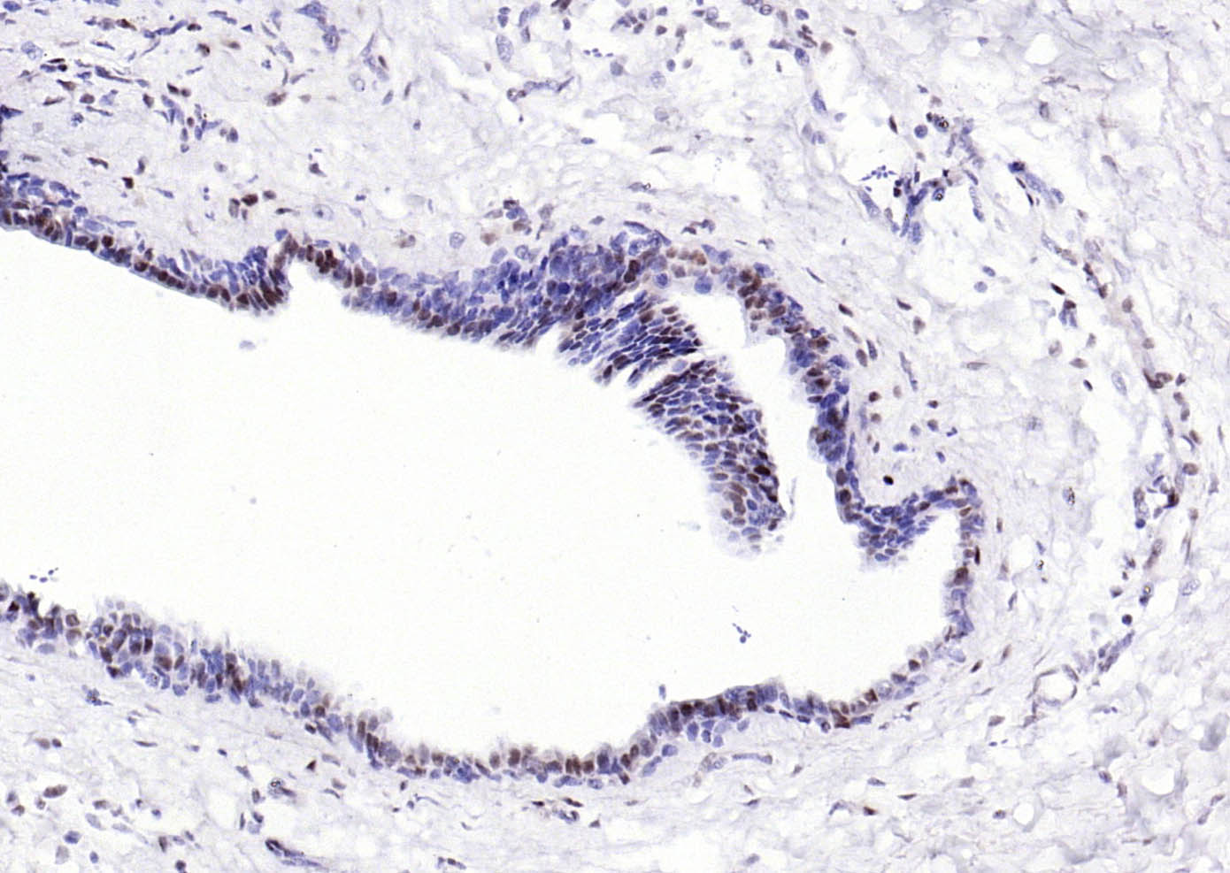
Paraformaldehyde-fixed, paraffin embedded (human breast carcinoma); Antigen retrieval by boiling in sodium citrate buffer (pH6.0) for 15min; Block endogenous peroxidase by 3% hydrogen peroxide for 20 minutes; Blocking buffer (normal goat serum) at 37°C for 30min; Antibody incubation with (CSNK2B CK II beta) Monoclonal Antibody, Unconjugated (bsm-54217R) at 1:200 overnight at 4°C, followed by operating according to SP Kit(Rabbit) (sp-0023) instructionsand DAB staining.
Paraformaldehyde-fixed, paraffin embedded (human breast); Antigen retrieval by boiling in sodium citrate buffer (pH6.0) for 15min; Block endogenous peroxidase by 3% hydrogen peroxide for 20 minutes; Blocking buffer (normal goat serum) at 37°C for 30min; Antibody incubation with (CSNK2B CK II beta) Monoclonal Antibody, Unconjugated (bsm-54217R) at 1:200 overnight at 4°C, followed by operating according to SP Kit(Rabbit) (sp-0023) instructionsand DAB staining.
Paraformaldehyde-fixed, paraffin embedded (human lung carcinoma); Antigen retrieval by boiling in sodium citrate buffer (pH6.0) for 15min; Block endogenous peroxidase by 3% hydrogen peroxide for 20 minutes; Blocking buffer (normal goat serum) at 37°C for 30min; Antibody incubation with (CSNK2B CK II beta) Monoclonal Antibody, Unconjugated (bsm-54217R) at 1:200 overnight at 4°C, followed by operating according to SP Kit(Rabbit) (sp-0023) instructionsand DAB staining.
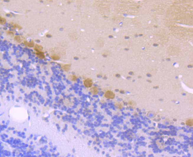
Paraformaldehyde-fixed, paraffin embedded (mouse cerebellum); Antigen retrieval by boiling in sodium citrate buffer (pH6.0) for 15min; Block endogenous peroxidase by 3% hydrogen peroxide for 20 minutes; Blocking buffer (normal goat serum) at 37°C for 30min; Antibody incubation with (CSNK2B CK II beta) Monoclonal Antibody, Unconjugated (bsm-54217R) at 1:200 overnight at 4°C, followed by operating according to SP Kit(Rabbit) (sp-0023) instructionsand DAB staining.
Paraformaldehyde-fixed, paraffin embedded (rat cerebellum); Antigen retrieval by boiling in sodium citrate buffer (pH6.0) for 15min; Block endogenous peroxidase by 3% hydrogen peroxide for 20 minutes; Blocking buffer (normal goat serum) at 37°C for 30min; Antibody incubation with (CSNK2B CK II beta) Monoclonal Antibody, Unconjugated (bsm-54217R) at 1:200 overnight at 4°C, followed by operating according to SP Kit(Rabbit) (sp-0023) instructionsand DAB staining.
Paraformaldehyde-fixed, paraffin embedded (rat brain); Antigen retrieval by boiling in sodium citrate buffer (pH6.0) for 15min; Block endogenous peroxidase by 3% hydrogen peroxide for 20 minutes; Blocking buffer (normal goat serum) at 37°C for 30min; Antibody incubation with (CSNK2B CK II beta) Monoclonal Antibody, Unconjugated (bsm-54217R) at 1:200 overnight at 4°C, followed by operating according to SP Kit(Rabbit) (sp-0023) instructionsand DAB staining.
Paraformaldehyde-fixed, paraffin embedded (mouse kidney); Antigen retrieval by boiling in sodium citrate buffer (pH6.0) for 15min; Block endogenous peroxidase by 3% hydrogen peroxide for 20 minutes; Blocking buffer (normal goat serum) at 37°C for 30min; Antibody incubation with (CSNK2B CK II beta) Monoclonal Antibody, Unconjugated (bsm-54217R) at 1:200 overnight at 4°C, followed by operating according to SP Kit(Rabbit) (sp-0023) instructionsand DAB staining.
Paraformaldehyde-fixed, paraffin embedded (mouse testis); Antigen retrieval by boiling in sodium citrate buffer (pH6.0) for 15min; Block endogenous peroxidase by 3% hydrogen peroxide for 20 minutes; Blocking buffer (normal goat serum) at 37°C for 30min; Antibody incubation with (CSNK2B CK II beta) Monoclonal Antibody, Unconjugated (bsm-54217R) at 1:200 overnight at 4°C, followed by operating according to SP Kit(Rabbit) (sp-0023) instructionsand DAB staining.
Paraformaldehyde-fixed, paraffin embedded (rat kidney); Antigen retrieval by boiling in sodium citrate buffer (pH6.0) for 15min; Block endogenous peroxidase by 3% hydrogen peroxide for 20 minutes; Blocking buffer (normal goat serum) at 37°C for 30min; Antibody incubation with (CSNK2B CK II beta) Monoclonal Antibody, Unconjugated (bsm-54217R) at 1:200 overnight at 4°C, followed by operating according to SP Kit(Rabbit) (sp-0023) instructionsand DAB staining.
Paraformaldehyde-fixed, paraffin embedded (rat testis); Antigen retrieval by boiling in sodium citrate buffer (pH6.0) for 15min; Block endogenous peroxidase by 3% hydrogen peroxide for 20 minutes; Blocking buffer (normal goat serum) at 37°C for 30min; Antibody incubation with (CSNK2B CK II beta) Monoclonal Antibody, Unconjugated (bsm-54217R) at 1:200 overnight at 4°C, followed by operating according to SP Kit(Rabbit) (sp-0023) instructionsand DAB staining.
Paraformaldehyde-fixed, paraffin embedded (mouse brain); Antigen retrieval by boiling in sodium citrate buffer (pH6.0) for 15min; Block endogenous peroxidase by 3% hydrogen peroxide for 20 minutes; Blocking buffer (normal goat serum) at 37°C for 30min; Antibody incubation with (CSNK2B CK II beta) Monoclonal Antibody, Unconjugated (bsm-54217R) at 1:200 overnight at 4°C, followed by operating according to SP Kit(Rabbit) (sp-0023) instructionsand DAB staining.
Paraformaldehyde-fixed, paraffin embedded (mouse cerebellum); Antigen retrieval by boiling in sodium citrate buffer (pH6.0) for 15min; Block endogenous peroxidase by 3% hydrogen peroxide for 20 minutes; Blocking buffer (normal goat serum) at 37°C for 30min; Antibody incubation with (CSNK2B/CK II beta) Monoclonal Antibody, Unconjugated (bsm-54217R) at 1:50 overnight at 4°C, followed by operating according to SP Kit(Rabbit) (sp-0023) instructionsand DAB staining.
Paraformaldehyde-fixed, paraffin embedded (human colon cancer); Antigen retrieval by boiling in sodium citrate buffer (pH6.0) for 15min; Block endogenous peroxidase by 3% hydrogen peroxide for 20 minutes; Blocking buffer (normal goat serum) at 37°C for 30min; Antibody incubation with (CSNK2B/CK II beta) Monoclonal Antibody, Unconjugated (bsm-54217R) at 1:50 overnight at 4°C, followed by operating according to SP Kit(Rabbit) (sp-0023) instructionsand DAB staining.
Paraformaldehyde-fixed, paraffin embedded (human breast); Antigen retrieval by boiling in sodium citrate buffer (pH6.0) for 15min; Block endogenous peroxidase by 3% hydrogen peroxide for 20 minutes; Blocking buffer (normal goat serum) at 37°C for 30min; Antibody incubation with (CSNK2B/CK II beta) Monoclonal Antibody, Unconjugated (bsm-54217R) at 1:50 overnight at 4°C, followed by operating according to SP Kit(Rabbit) (sp-0023) instructionsand DAB staining.

联系我们

TEL:021-34661275  点击拨打热线