首页 > 抗体蛋白 > 抗体
氧化低密度脂蛋白抗体
产品名称:
氧化低密度脂蛋白抗体
英文名称:
ox-LDL
产品类别:
抗体
产品编号:
Ys-1698R
产品应用:
IHC-P, IHC-F, IF, Flow-Cyt
性状:
Liquid
纯化方法:
affinity purified by Protein A
保质期:
1年
保存条件:
Shipped at 4℃. Store at -20 °C for one year. Avoid
[价格]
规格 价格 库存
50ul ¥ 1100 2
100ul ¥ 1900 2
200ul ¥ 2900 1

产品详情

 

英文名称
ox-LDL Rabbit pAb
中文名称
氧化低密度脂蛋白抗体
英文别名
ox-LDL: LDL(Copper oxidized); Cu2SO4 oxidized low density lipoprotein; oxidized low density lipoprotein; Low density lipoprotein; MDA oxidized LDL; MDA oxidized low density lipoprotein.
产品应用
IHC-P=1:100-500, IHC-F=1:100-500, IF=1:100-500, Flow-Cyt=2ug/Test

Not yet tested in other applications.
Optimal working dilutions must be determined by the end user.

交叉反应
Human
抗体来源
Rabbit
免疫原
Full length protein from human plasma
亚型
IgG
性状
Liquid
纯化方法
affinity purified by Protein A
克隆类型
Polyclonal
理论分子量
31 kDa
浓度
1mg/ml
储存液
0.01M TBS (pH7.4) with 1% BSA, 0.02% Proclin300 and 50% Glycerol.
亚细胞定位
Secreted.
Gene ID
ox-LDL
保存条件
Shipped at 4℃. Store at -20℃ for one year. Avoid repeated freeze/thaw cycles.
注意事项
This product as supplied is intended for research use only, not for use in human, therapeutic or diagnostic applications.
背景资料
Low-density lipoprotein (LDL) is the carrier protein for cholesterol in the blood. LDL binds to its receptor on the capillary walls and thereby mediates the uptake and clearence of cholesterol from the circulation. In atherosclerotic lesions oxidatively modified LDL is found and oxidized LDL is specifically recognized and ingested by macrophages via scavenger receptor A and CD36. Oxidized LDL may be a marker of atherosclerosis but the precise changes in oxidized LDL are not well described. Low-density lipoprotein oxidised with Cu2SO4.
应用 推荐稀释比例
IHC-P 1:100-500
IHC-F 1:100-500
IF 1:100-500
Flow-Cyt 2ug/Test

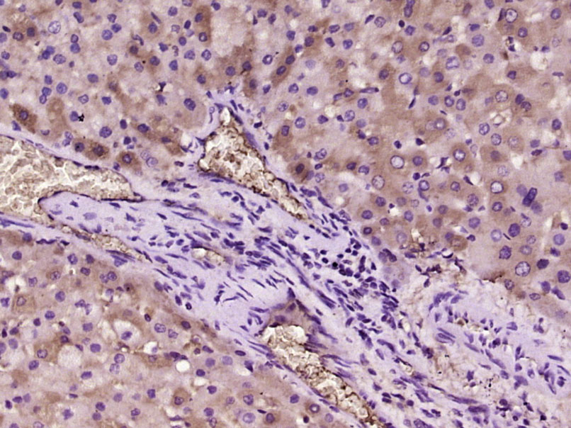
图片资料

Paraformaldehyde-fixed, paraffin embedded (Human liver); Antigen retrieval by boiling in sodium citrate buffer (pH6.0) for 15min; Block endogenous peroxidase by 3% hydrogen peroxide for 20 minutes; Blocking buffer (normal goat serum) at 37°C for 30min; Antibody incubation with (ox-LDL) Polyclonal Antibody, Unconjugated (1698R) at 1:400 overnight at 4°C, followed by operating according to SP Kit(Rabbit) (sp-0023) instructionsand DAB staining.
 
Blank control: A431.
Primary Antibody (green line): Rabbit Anti-ox-LDL antibody (1698R)
Dilution: 3μg /10^6 cells;
Isotype Control Antibody (orange line): Rabbit IgG .
Secondary Antibody : Goat anti-rabbit IgG-AF647
Dilution: 3μg /test.
Protocol
The cells were incubated in 5%BSA to block non-specific protein-protein interactions for 30 min at at room temperature .Cells stained with Primary Antibody for 30 min at room temperature. The secondary antibody used for 40 min at room temperature. Acquisition of 20,000 events was performed.
 
Blank control:HepG2.
Primary Antibody (green line): Rabbit Anti-ox-LDL antibody (1698R)
Dilution: 2ug/Test;
Secondary Antibody : Goat anti-rabbit IgG-FITC
Dilution: 0.5ug/Test.
Protocol
The cells were incubated in 5%BSA to block non-specific protein-protein interactions for 30 min at room temperature .Cells stained with Primary Antibody for 30 min at room temperature. The secondary antibody used for 40 min at room temperature. Acquisition of 20,000 events was performed.

联系我们

TEL:021-34661275  点击拨打热线